6 نصائح للحفاظ على صحة العظام , ما هو المشروب الذي يقوي العظام؟ ما هي الفاكهة التي تقوي العظام؟ ما هو الفيتامين الذي يقوي العظام؟ كيف تعرف ان عظامك قوية؟ اكلات تقوي العظام والمفاصل , كيف اجعل عظامي قوية جدا؟ ما هو افضل مقوي للعظام؟ bone health
صحة العظام من أجل الحياة: أساسيات المعلومات الصحية لك ولعائلتك
لماذا صحة العظام مهمة؟

عظامنا تدعمنا وتسمح لنا بالحركة. إنها تحمي دماغنا وقلبنا وأعضائنا الأخرى من الإصابة. تقوم عظامنا أيضًا بتخزين المعادن مثل الكالسيوم والفوسفور ، مما يساعد في الحفاظ على قوة عظامنا ، وإطلاقها في الجسم عندما نحتاج إليها لاستخدامات أخرى.
هناك العديد من الأشياء التي يمكننا القيام بها للحفاظ على صحة وقوة عظامنا. يساعد تناول الأطعمة الغنية بالكالسيوم وفيتامين د ، وممارسة الكثير من التمارين ، واتباع عادات صحية جيدة في الحفاظ على صحة عظامنا.
ولكن إذا لم نأكل بشكل صحيح ولم نحصل على ما يكفي من التمارين الصحيحة ، يمكن أن تصبح عظامنا ضعيفة وحتى تنكسر. يمكن أن تكون العظام المكسورة (تسمى الكسور) مؤلمة وتحتاج أحيانًا إلى جراحة للشفاء. يمكن أن تسبب أيضًا مشاكل صحية طويلة الأمد.
لكن الخبر السار هو أنه لم يفت الأوان بعد لرعاية عظامك :
فيما يلي :
- ما هو مرض هشاشة العظام؟
- من يصاب بهشاشة العظام؟
- هل أنا حقا في خطر؟
- كيف أعرف أنني مصاب بهشاشة العظام؟
- ما الذي يمكنني فعله لجعل عظامي أكثر صحة؟
- هل سأحتاج إلى تناول دواء لعظامي؟
- مصادر الكالسيوم
- المقدار الموصى به من الكالسيوم وفيتامين د

ما هو مرض هشاشة العظام؟
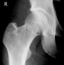
هناك أنواع عديدة من أمراض العظام. الأكثر شيوعًا هو هشاشة العظام (AH-stee-oh-por-OH-sis). مع هشاشة العظام ، تصبح عظامنا ضعيفة وأكثر عرضة للكسر. غالبًا ما يكسر الأشخاص المصابون بهشاشة العظام عظام الرسغ والعمود الفقري والورك.
عظامنا حية. كل يوم ، يقوم جسمنا بتبديل العظام القديمة ووضع عظام جديدة في مكانها. مع تقدمنا في السن ، نخسر من عظامنا أكثر مما ترجع. من الطبيعي أن نفقد بعض العظام مع تقدمنا في العمر. ولكن إذا لم نتخذ خطوات للحفاظ على صحة عظامنا ، فقد نفقد الكثير من العظام ونصاب بهشاشة العظام.
كثير من الناس لديهم عظام ضعيفة ولا يعرفون ذلك. ذلك لأن فقدان العظام يحدث غالبًا على مدى فترة طويلة من الزمن ولا يؤلم. بالنسبة للعديد من الأشخاص ، فإن كسر العظام هو أول علامة على إصابتهم بهشاشة العظام.

من يصاب بهشاشة العظام؟
هناك العديد من الأشياء التي يمكن أن تزيد من فرص إصابتك بهشاشة العظام. تسمى هذه الأشياء “عوامل الخطر”. بعض عوامل الخطر هي أشياء يمكنك التحكم فيها ، وبعض الأشياء خارجة عن إرادتك.

عوامل الخطر التي يمكنك التحكم فيها:
- الحمية. يمكن أن يؤدي الحصول على القليل من الكالسيوم إلى زيادة فرص الإصابة بهشاشة العظام. يمكن أن يؤدي عدم الحصول على ما يكفي من فيتامين د إلى زيادة خطر الإصابة بالمرض. فيتامين د مهم لأنه يساعد الجسم على استخدام الكالسيوم في نظامك الغذائي.
- النشاط البدني. يمكن أن يؤدي عدم ممارسة الرياضة وعدم ممارسة الرياضة لفترات طويلة إلى زيادة فرص الإصابة بهشاشة العظام. مثل العضلات ، تصبح العظام أقوى – وتبقى أقوى – مع ممارسة التمارين الرياضية بانتظام.
- وزن الجسم. كونك نحيفًا جدًا يجعلك أكثر عرضة للإصابة بهشاشة العظام.
- التدخين. يمكن أن يمنع تدخين السجائر جسمك من استخدام الكالسيوم في نظامك الغذائي. أيضًا ، تمر النساء المدخنات بسن اليأس في وقت أبكر من أولئك الذين لا يدخنون. يمكن أن تزيد هذه الأشياء من خطر الإصابة بهشاشة العظام.
- الكحول. الأشخاص الذين يشربون الكحول هم أكثر عرضة للإصابة بهشاشة العظام.
- الأدوية. يمكن أن تسبب بعض الأدوية فقدان العظام. وتشمل نوعًا من الأدوية يسمى الجلوكوكورتيكويد (جلو-كو-كور-تي-كويدز). يتم إعطاء الجلوكوكورتيوكويد للأشخاص الذين يعانون من التهاب المفاصل والربو والعديد من الأمراض الأخرى. بعض الأدوية الأخرى التي تمنع النوبات والتي تعالج الانتباذ البطاني الرحمي (en-do-me-tree-O-sis) ومرض يصيب الرحم والسرطان يمكن أن تسبب فقدان العظام أيضًا.

عوامل الخطر التي لا يمكنك السيطرة عليها:
- السن. تزداد فرص إصابتك بهشاشة العظام مع تقدمك في السن.
- الجنس. لديك فرصة أكبر للإصابة بهشاشة العظام إذا كنت امرأة. النساء لديهن عظام أصغر من الرجال ويفقدن العظام بشكل أسرع من الرجال بسبب التغيرات الهرمونية التي تحدث بعد انقطاع الطمث.
- العِرق. النساء البيض والنساء الآسيويات أكثر عرضة للإصابة بهشاشة العظام. النساء اللاتينيات والنساء الأميركيات من أصل أفريقي معرضات أيضًا للخطر ، ولكن أقل من ذلك.
- تاريخ العائلة. قد يؤدي وجود أحد أفراد الأسرة المقربين مصابًا بهشاشة العظام أو كسر أحد العظام إلى زيادة مخاطر إصابتك أيضًا.

هل أنا حقا في خطر؟
نظرًا لأن النساء يصبن بهشاشة العظام أكثر من الرجال ، يعتقد العديد من الرجال أنهم ليسوا معرضين لخطر الإصابة بالمرض. العديد من النساء من أصل إسباني والأمريكي من أصل أفريقي لا يهتمن أيضًا بعظامهن. إنهم يعتقدون أن هشاشة العظام هي مشكلة للنساء البيض فقط. ومع ذلك ، فهو يمثل مخاطرة حقيقية لكبار السن من الرجال والنساء من جميع الخلفيات.
أيضًا ، قد يكون الأشخاص من خلفيات عرقية معينة أكثر عرضة للإصابة بمشكلات صحية أخرى تزيد من خطر إصابتهم بفقدان العظام. إذا كنت تعاني من إحدى المشكلات الصحية التالية ، فتحدث إلى طبيبك بشأن صحة عظامك:
|
|
كيف أعرف أنني مصاب بهشاشة العظام؟
نظرًا لأن هشاشة العظام لا تظهر عليها أي أعراض حتى تنكسر العظام ، فمن المهم التحدث إلى طبيبك حول صحة عظامك. إذا شعر طبيبك أنك معرض لخطر الإصابة بهشاشة العظام ، فقد يطلب إجراء اختبار كثافة العظام. يقيس اختبار كثافة العظام مدى قوة – أو كثافة – عظامك وما إذا كنت مصابًا بهشاشة العظام. يمكن أن يخبرك أيضًا عن فرص إصابتك بكسر في العظام. اختبارات كثافة العظام سريعة وآمنة وغير مؤلمة.
ما الذي يمكنني فعله لجعل عظامي أكثر صحة؟
لا يزال الوقت مبكرًا أو متأخرًا جدًا للعناية بعظامك. يمكن أن تساعدك الخطوات التالية في تحسين صحة عظامك:
- اتبع نظامًا غذائيًا متوازنًا غنيًا بالكالسيوم وفيتامين د. تشمل المصادر الجيدة للكالسيوم منتجات الألبان قليلة الدسم والأطعمة والمشروبات المضاف إليها الكالسيوم. تشمل المصادر الجيدة لفيتامين د صفار البيض وأسماك المياه المالحة والكبد والحليب بفيتامين د. قد يحتاج بعض الأشخاص إلى تناول مكملات غذائية للحصول على ما يكفي من الكالسيوم وفيتامين د. توضح الرسوم البيانية أدناه مقدار الكالسيوم وفيتامين د الذي تحتاجه كل يوم. تساهم الفواكه والخضروات أيضًا في العناصر الغذائية الأخرى المهمة لصحة العظام.
مصادر الكالسيوم
- التوفو (المدعم بالكالسيوم).
- حليب الصويا (مدعم بالكالسيوم).
- الخضار الورقية الخضراء (على سبيل المثال ، البروكلي ، براعم بروكسل ، الخردل الأخضر ، اللفت).
- ملفوف صيني أو بوك تشوي.
- الفاصوليا / البقوليات.
- تورتيلا.
- سردين / سلمون مع عظام صالحة للأكل.
- جمبري.
- عصير برتقال (مدعم بالكالسيوم).
- بيتزا.
- رغيف الخبز.
- المكسرات / اللوز.
- منتجات الألبان (مثل الحليب والجبن والزبادي).

موصى به من الكالسيوم وفيتامين د
| مجموعة مرحلة الحياة | ملغ كالسيوم / يوم | فيتامين د (وحدة دولية / يوم) |
|---|---|---|
| الرضع من 0 إلى 6 أشهر | 200 | 400 |
| الرضع من عمر 6 إلى 12 شهرًا | 260 | 400 |
| من 1 إلى 3 سنوات | 700 | 600 |
| من 4 إلى 8 سنوات | 1،000 | 600 |
| من 9 إلى 13 عامًا | 1300 | 600 |
| من 14 إلى 18 عامًا | 1300 | 600 |
| من 19 إلى 30 عامًا | 1،000 | 600 |
| من 31 إلى 50 عامًا | 1،000 | 600 |
| من 51 إلى 70 عامًا | 1،000 | 600 |
| 51- إلى 70 سنة | 1200 | 600 |
| > 70 سنة | 1200 | 800 |
| 14 – 18 سنة ، حامل / مرضع | 1300 | 600 |
| من 19 إلى 50 عامًا ، حامل / مرضع | 1،000 | 600 |
التعاريف: mg = ملليغرام ؛ IU = وحدات دولية
المصدر: مجلس الغذاء والتغذية ، معهد الطب ، الأكاديمية الوطنية للعلوم ، 2010.

- مارس الكثير من النشاط البدني. مثل العضلات ، تصبح العظام أقوى مع التمرين. أفضل تمارين لعظام صحية هي بناء القوة وتحمل الأثقال ، مثل المشي وصعود السلالم ورفع الأثقال والرقص. حاول أن تحصل على 30 دقيقة من التمارين كل يوم.
- عش حياة صحية. لا تدخن ، ولا تشرب الكحول .
- تحدث إلى طبيبك حول صحة عظامك. راجع عوامل الخطر الخاصة بك مع طبيبك واسأل عما إذا كان يجب عليك إجراء اختبار كثافة العظام. إذا كنت في حاجة إليها ، يمكن لطبيبك أن يطلب دواء للمساعدة في منع فقدان العظام وتقليل فرص كسرها.
- منع السقوط. يمكن أن يتسبب السقوط في كسر أحد العظام ، خاصةً لدى الشخص المصاب بهشاشة العظام. ولكن يمكن منع معظم حالات السقوط. افحص منزلك بحثًا عن مخاطر مثل السجاد الفضفاض والإضاءة السيئة. قم بفحص رؤيتك بانتظام. زد من توازنك وقوتك عن طريق المشي كل يوم وأخذ دروس مثل تاي تشي أو اليوجا أو الرقص.

هل سأحتاج إلى تناول دواء لعظامي؟
توجد أدوية للمساعدة في الوقاية من هشاشة العظام وعلاجها. وتشمل هذه البايفوسفونيت ؛ منبهات / مضادات الاستروجين (وتسمى أيضًا مُعدِّلات مستقبلات الاستروجين الانتقائية أو SERMs) ؛ كالسيتونين. هرمون الغدة الدرقية؛ علاج الإستروجين العلاج بالهرمونات؛ ومثبط RANK ligand (RANKL) المعتمد مؤخرًا. قد يطلب منك طبيبك تناول الدواء إذا أظهر اختبار كثافة العظام أن عظامك ضعيفة وأن لديك فرصة جيدة لكسر العظام في المستقبل. من المرجح أن يطلب طبيبك الأدوية إذا كانت لديك مخاوف صحية أخرى تزيد من خطر إصابتك بكسر في العظام ، مثل الميل إلى السقوط أو انخفاض وزن الجسم.



